Brain Surgery for Pets

Home » Diagnostics and Treatment » Brain Surgery

Why does my pet need brain surgery?

Nothing can be scarier for a pet parent than knowing your pet may need brain surgery. But rest assured, there is no other facility better equipped, more experienced, or as understanding of your concerns. At Southeast Veterinary Neurology (SEVN), we’re more than brain surgeons; we’re pet parents, too.

Pets may need brain surgery for a variety of reasons, including removal of brain tumors, correction of Chiari-like malformation, removal of blood clots or bone fragments after trauma, and placement of ventriculoperitoneal (VP) shunts in patients with hydrocephalus.

We will only recommend brain surgery after carefully weighing the benefits versus the risks, and this will be discussed with you in depth to help you make the best decision for your family.

Brain Surgeries We Perform at Southeast Veterinary Neurology

Surgical Removal of Brain Tumors

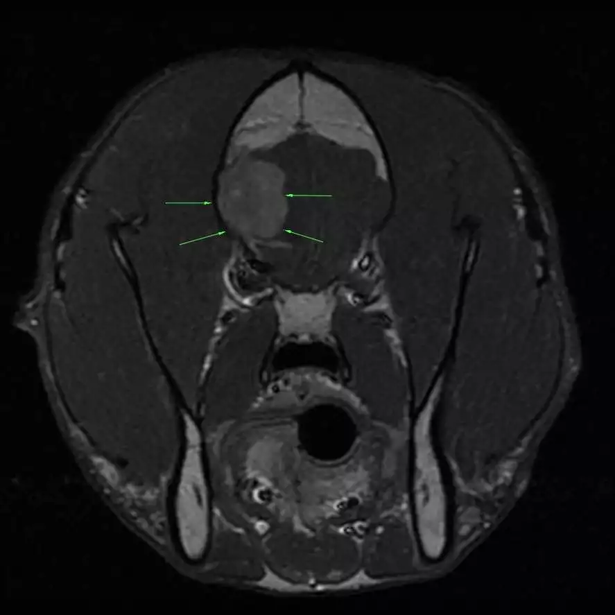
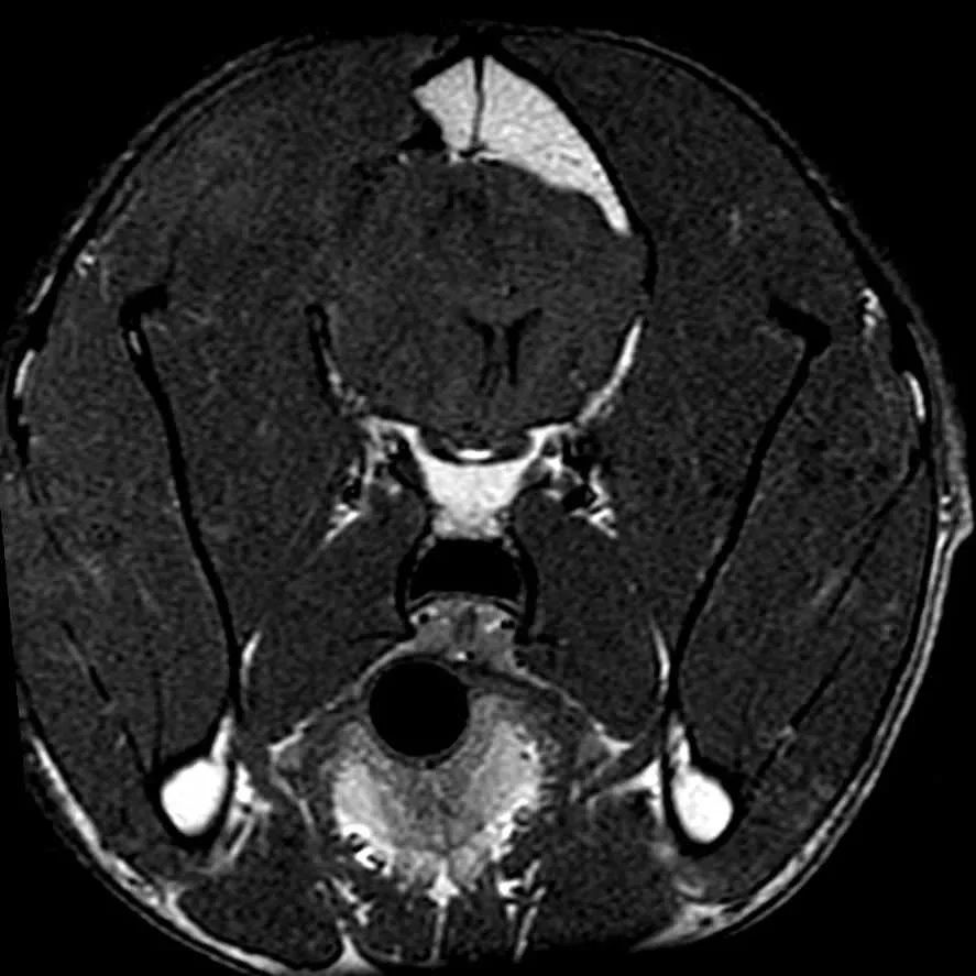
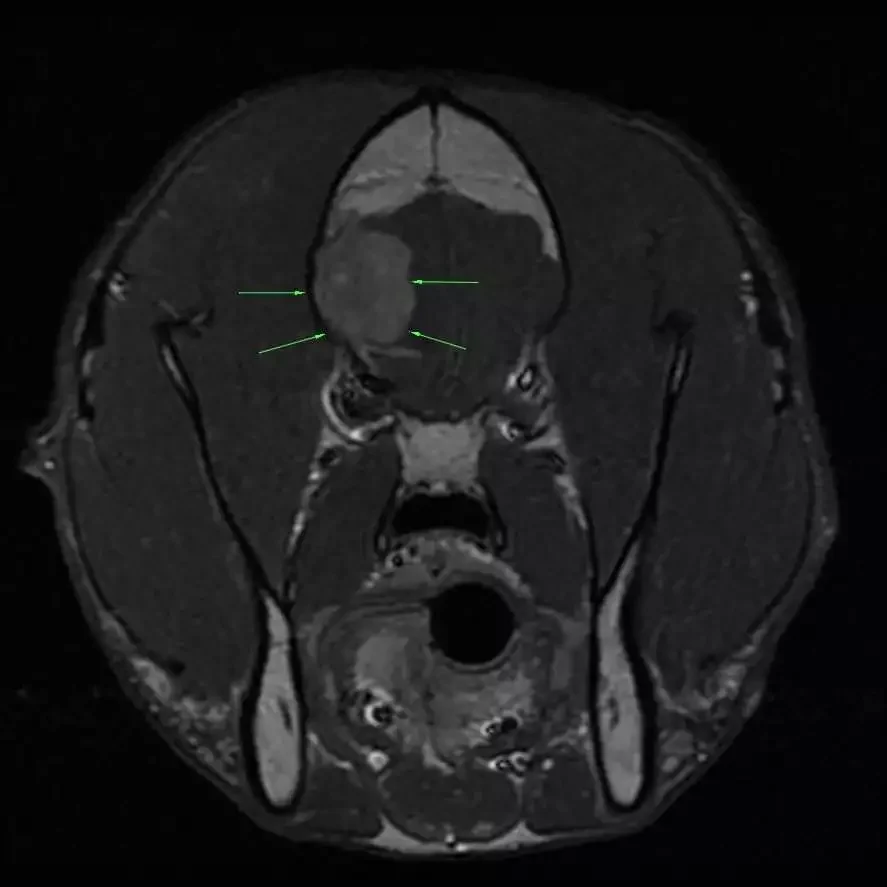
Surgery to remove a brain tumor is the most common reason we perform brain surgery in dogs and cats. As scary as a brain tumor may sound, the vast majority of pets do extremely well with surgery. Prognosis depends on the type of tumor, how fast it is growing, how much of the tumor can be removed, and what follow-up treatments are used.

The most common type of brain tumor in dogs and cats is called a meningioma. Meningiomas tend to be benign, located on the surface of the brain, and removable with surgery. This surgery can be curative for cats, while dogs can live for several years.

We will only recommend surgery if we feel that the potential for a good outcome outweighs the risks. After performing an MRI, your veterinary neurologist will let you know whether brain surgery is a good option for your pet.

Pre-Operative MRI In Dog With Brain Tumor

Post-Operative MRI In Dog With Brain Tumor

Foramen Magnum Decompression

Foramen magnum decompression surgery is most commonly performed to treat Chiari-like Malformation. While this is an oversimplification, during this surgery, a pet neurologist removes malformed bone that is causing compression in the back part of the brain.

Ventriculoperitoneal (VP) Shunting

Ventriculoperitoneal (VP) shunting is a surgery for treating the buildup of extra fluid within the brain caused by hydrocephalus. A specialized tube is placed under the skin to direct fluid from the brain into the patient’s belly. Most dogs and cats with congenital hydrocephalus do very well with surgery.

Head Trauma

Rarely, brain surgery is needed following head trauma if there is excessive bleeding in the brain, broken bones of the skull, or foreign objects (bullets, broken tooth, dirt and debris) lodged in the brain. The likelihood of success depends on many factors, which your vet neurologist will discuss with you in detail based on your particular pet’s situation.

MRI image of a small dog with head trauma after being bitten by a larger dog. Note the bone fragment (single arrow) that is within the brain parenchyma. The double arrows show the defect in the skull.

Tech Hugging Dog

Why choose Southeast Veterinary Neurology for pet brain surgery?

Our neurologists are highly skilled in neurology and neurosurgery, including brain surgery. In fact, other pet neurologists often send their most complicated cases for brain surgery to SEVN. Even so, we will only recommend surgery if we think it is the best treatment for your pet after reviewing all options, pros, and cons with you.