Gracie Atlantoaxial Subluxation

Home » Veterinarians » Case Studies » Gracie

Gracie, a 17-week-old female Yorkshire Terrier presented to Southeast Veterinary Neurology (SEVN) for evaluation of neck pain and weakness in all four of her legs. Gracie suddenly became painful and ataxic four days prior to presentation.

Radiographs of her neck by her veterinarian showed a condition called atlantoaxial subluxation.

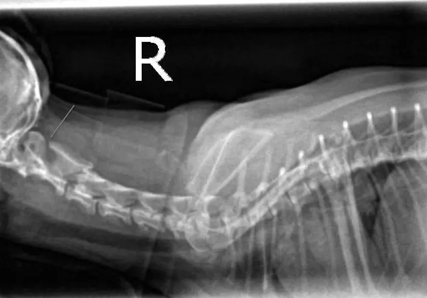
Below are radiographs of Gracie before and after her neck splint was placed. Note the large space between the first two bones in Gracie’s neck prior to reduction.

Gracie's Radiographs

Before the Splint

Gracie Before Splint

Referring radiographs showing atlantoaxial subluxation. Note the increased space between C1 and C2.

After Placing the Splint

Gracie After Splint

Gracie after placing a splint. Note that the subluxation is reduced.

Atlantoaxial subluxation is a condition seen primarily in young, small breed dogs where there is instability between the first and second cervical vertebrae. These two vertebrae are normally held together by a strong joint supported by bone and ligaments. However, some dogs are born with a weak attachment at this joint, which can lead to instability and subluxation. Subluxation at this location can cause spinal cord compression and bruising resulting in clinical signs of neck pain, weakness and even paralysis. Surgical fusion of the joint is the treatment of choice for dogs with atlantoaxial subluxation.

Due to Gracie’s young age, surgery was postponed for several months. Young dogs have softer bones making risk of failure of surgical fusion higher. Therefore, many dogs have to grow up a little before they can have surgery. While Gracie was waiting for surgery, she was managed with a splint around her neck.

Gracie was evaluated weekly until she was about six months of age. She was then admitted for surgical fusion of her neck. Below is her magnetic resonance imagining (MRI) used for surgical planning and to evaluate for spinal cord damage.

Gracie's Diagnostic Images

Pre-Operative

Gracie Pre Op Mri

Gracie’s pre-operative MRI.
Note that there is still subluxation at C1-C2.

Post-Operative

Gracie After Surgery
Gracie Healed After Surgery

A Happy & Healthy Gracie After Surgery

After surgery, Gracie had a smooth recovery. She is doing great at home, is comfortable and walking normally. She is starting to enjoy being a puppy again.